初めて永久歯が生えてくるのは、下前歯からが通常ですが、よく乳歯が抜けずにその内側(舌側)から永久歯が生えてくることがあります。まだ乳歯が抜けていないので驚いてしまうかと思いますが、ほとんどの場合そのまま様子を見ていただいてOKです。
乳歯が抜けると、内側にある永久歯は舌によって外側へ押されているため徐々に本来の位置に動いていきます。永久歯が生えてきて1ヶ月経っても乳歯がグラグラしてこない。食事をすると痛みがある場合はレントゲンを撮って乳歯の根の状態を確認し抜歯となる場合もありますが、ほとんどが様子を見て自然に抜けるのを待つことが多いです。
抜歯するとなると、”麻酔”を使用します。また、幼児など低年齢の場合は体を抑えて抜歯することになるので恐怖心などがついてしまう場合があります。
なるべく怖い思いをせず自然に抜け替わりを待つことを当院としてはオススメしております。
市町村の1歳6ヵ月・3歳児健診や幼稚園、保育園での歯科検診で噛み合わせを指摘をされた場合はまだ幼児なので、すぐに何か装置を付けて治療することはありません。早くても、前歯上下が永久歯に生え変わるまで経過観察となります。
ただし、噛み合わせに影響が出る習慣(指しゃぶり・舌を前歯の間から出すなど)は4~5歳頃までには止めることをオススメします。
学校の歯科検診で噛み合わせを指摘された場合は、上下前歯が永久歯に生え変わっているのであれば当院への矯正相談での受診をご検討ください。
矯正開始目安の上下前歯永久歯の本数は「小学生ですが矯正できますか?」の回答をご覧ください。
アップル小児矯正歯科では、上前歯と下前歯が永久歯に生え変わってから矯正治療をスタートするのが基本的な矯正時期となっています。反対咬合(受け口)の場合は6歳(年長)からスタートする患者様もいます。
ムーシールドなど幼児からもできるマウスピースを使用した矯正は、当院では取り扱っておりません。
永久歯への生え変わり時期は一人一人違いますが、当院では上前歯と下前歯が永久歯に生え変わってから矯正治療をスタートすることができます。
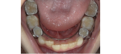
歯が埋まって生えてこないなどの問題がなければ、上の前歯永久歯が2本、下前歯永久歯が4本の時期が一番ベストなスタート時期です。

ただし、反対咬合(受け口)の場合は早めのスタートが推奨されますので上前歯が生えてきて1本でも下前歯より後ろに生えてきたら矯正治療スタート時期です。
上記以上の生え変わりがある時は、装置を付けるために使う奥歯の乳歯が矯正中に抜け変わってしまう可能性があるため、奥歯が数本永久歯に生え変わってからスタートとなります。
ここは判断が難しいので、当院にて口腔内を確認し時期を明確にさせていただければと思います。

12歳臼歯と言われる前から7番目の歯が上下左右生えている、またはもうすぐ全部生えそう・・・というタイミングですと矯正治療がスタートできますが、内容は成人の矯正治療と同じになります。
ただし、反対咬合(受け口)の場合は身長などの成長が止まってからの治療となります。目安は高校生からスタートですが数年治療期間があるため、中学3年生冬休み頃までには一度当院へご来院いただき口腔内を診せていただいて見通しをお伝えできればと思います。

高校生は、成人の矯正治療としてスタートができます。矯正治療は2~3年間かかるので、卒業後苫小牧や苫小牧近郊を離れる可能性がある方は、高校入学後早めに治療をスタートすることがオススメです。
詳しくは→アップル大人の矯正ホームページをご覧ください。
食べ物は、キャラメルやハイチュウ、ぷっちょやガムなどの歯にくっつくようなものは装置にもくっついてしまうので控えてもらいます。
運動の制限は特にありません。矯正装置が入っていてもサッカーやアイスホッケーなどのスポーツをしている方もたくさんいます。

痛みの感じ方には個人差がありますが、多少はあると思っていただいた方が良いかと思います。小学生頃に行う第1期治療は、上下のアゴを広げて永久歯のスペースを作ります。こちらの装置は、痛みよりは食べにくい・喋りにくいなどの違和感の方がある方が多いです。
奥歯には金属のバンドが入りますので、噛んだ時に多少違和感や痛みを感じる方もいます。しかし、1週間ほど様子みていたけると徐々に慣れていきます。
その後、前歯にワイヤーが付くと歯を少しずつ動かしていくのでワイヤー調整後2~3日はズーンとするような痛みを感じる方もいます。
ただ、段々とワイヤー調整を繰り返していく事で慣れ、調整後の痛みは感じなくなるかと思います。

治療期間(歯を動かす期間)は、平均2年前後です。ただし、反対咬合(受け口)は3年間又は反対咬合用の矯正装置の効果が期待されるのが12歳までなので治療期間が12歳までになる場合もあります。
通院頻度:顎を拡大したり前方へ動かしたりしている期間は2~4か月毎の通院が必要です。歯の表面にワイヤーを付けて歯を動かしている期間は1ヶ月毎の通院が必要です。
※歯を動かした後は、矯正した歯や顎が戻らないように固定(保定)期間が必要です。

人それぞれですが、子どもの時(小学生期)に行う第1期治療のあと、高校生~成人で第2期治療を行う方もいます。前歯が出ている出っ歯の場合は、高校生以降に永久歯を抜いて矯正すると前歯をかなり引っ込めることができます。
反対咬合(受け口)の場合は第1期治療で噛み合わせが良くなっても、中高校生時期の成長期に再び噛み合わせが反対になる事もあります。その場合は第2期治療が必要になります。
一人一人の歯並びや骨格で、治療のパターンは変わりますので詳しくは来院時しっかりご説明致します。
矯正料金の支払い方法は、現金一括・現金分割(条件有)・各種カード払い・銀行振込・デンタルローンがあります。
支払いのタイミングは、最初に装置が入る日です。